背景/引言:
肝癌是全球公認的重大健康問題, WHO最新全球癌癥數據顯示:中國肝癌新發病例數37萬例,高居中國癌癥發病率第4位;死亡病例數32萬例,死亡率高居第2位,統計數據顯示,肝癌在中國的發病率和死亡率均高于全球平均水平。
近年來,因冷凍消融具有可視、無痛、安全、免疫增強等優點,在肝癌的臨床應用中逐漸得到重視和應用。現通過專家共識和相關文獻簡述冷凍消融技術在肝癌治療中的進展和療效。
研究一
冷凍消融治療的路徑有經皮、腹腔鏡及開腹3 種方式,臨床常用影像引導經皮入路。本共識規范了影像引導下肝癌冷凍消融治療的患者選擇和技術操作流程,提高治療效果、減少手術風險性,為臨床實踐和規范肝癌的冷凍消融治療提供參考。本文將對該專家共識的關鍵內容進行簡述。(1)肝癌直徑≤ 5cm,或3 ~ 5 個腫瘤、最大直徑≤ 3cm;
(2)原發性小肝癌拒絕外科手術者,或單發腫瘤外科手術后發現切緣有殘余或復發者;
(3)轉移性肝癌病灶超過3 個無法外科切除,且原發部位腫瘤能夠得到有效治療者;
(4)無血管、膽管和鄰近器官侵犯;
(5)肝功能分級Child-Pugh A/B 級,或經保肝治療達到該標準;
(6)不能手術切除的直徑> 5cm的單發腫瘤或直徑> 3cm 的多發腫瘤,可行姑息性消融或與經導管動脈栓塞化療等其他治療方法聯合治療。術前應詳細詢問病史并對患者進行全面檢查,以評估患者全身情況及對手術的耐受性,確定治療方案、引導方式、患者及家屬的理解和同意。值得注意的是,患者需具備兩周內的肝臟超聲造影、強化CT 或MRI 檢查,必要時行PET-CT檢查,用以明確病灶與血管、膽管及周圍重要組織器官的關系,并預先設計進針路線、消融范圍及冷凍探針組合模型。(1)設計進針路徑時,應注意避開肋骨、胃、腸及膽囊等結構,避免術中冷凍能量沿探針傳遞損傷空腔臟器,導致膽瘺及腸瘺;
(2)如果冷凍治療應用CT 或MRI 進行術中引導及監控,則術前應鍛煉患者呼吸配合,每次掃描時屏氣幅度一致,平靜呼氣末屏氣最常應用;
(3)包膜下肝癌,穿刺路徑設計應經過部分正常的肝組織,減少腫瘤破裂出血及腹腔內播散的機會;
(4)治療近膈頂的肝癌,盡可能經肋膈角下方進針,避免探針經過肋膈角、膈肌,損傷肺組織,且冷凍過程中注意控制消融范圍,必要時采取水隔離技術,勿傷及膈肌;
(5)靠近腹壁的病灶進行冷凍治療,應在體表穿刺點敷溫水囊,避免凍傷腹壁和皮膚;
(6)靠近膽囊及胃腸道的病變冷凍治療時,術中監控病變,使冷凍冰球外緣勿達到膽囊和胃腸,防止凍傷后穿孔;
(7)靠近大血管的病變進行手術時,需應用較多數目的冷凍探針,因大血管能夠迅速帶走冷凍能量,使形成的冷凍冰球較小,影響治療效果;
(8)直徑3 ~ 5cm 但影像學檢查顯示邊界不清呈浸潤性生長的病灶,冷凍消融范圍應相應擴大,超過病變顯示范圍1.5cm 以上;
(9)直徑> 5cm 的病灶,可通過多針穿刺和多點布針的方法盡可能適形、全面地消融病灶,也可根據情況行姑息性治療,部分滅活腫瘤、減輕腫瘤負荷或延緩病情進展,以延長患者生存時間和提高生存質量。推薦方案是在消融后1 個月左右,復查動態增強CT 或MRI,或超聲造影以評價消融效果,通過觀察有無腫瘤殘留,可分為完全消融及不完全消融。在腫瘤標志物檢查中,原發性肝癌以血清甲胎蛋白水平作為評價指標,轉移性肝癌多以癌胚抗原作為評價指標。治療的不良反應主要有術后寒戰發熱、肝區疼痛、血清酶升高和血小板減少等,并發癥包括感染、出血、胸腔積液、皮膚凍傷、肋間神經損傷、冷休克、膽瘺和腸瘺、肝功能衰竭等。充分術前準備、嚴格操作規范、準確定位與穿刺及術中動態監控是減少并發癥發生率的重要方法。近年來,局部消融治療得到廣泛應用,其具有對肝功能影響少、創傷小、療效確切、重復性好等特點。研究顯示對于直徑≤ 3cm 的肝細胞癌,局部消融與外科手術療效無明顯差異,冷凍消融使不適合手術切除的肝癌患者獲得根治機會,現已是肝癌局部消融的常用方法。臨床常見的原發性肝臟腫瘤是肝細胞癌,局部消融治療現已是極早期和早期肝細胞癌患者治療的一個組成部分。局部消融包括射頻消融、微波消融和冷凍消融等。與其他方式相比,冷凍消融具有明顯優點,包括影像監測冰球的邊界、可激活有效的免疫效應、降低血管和其他關鍵結構損傷的發生率以及避免劇烈疼痛。本文探究了冷凍消融肝癌的臨床有效性和安全性。回顧性納入2018年10月至2019年8月期間接受冷凍消融手術的肝臟腫瘤患者9例, 5 名男性和 4 名女性。中位年齡為66 歲(范圍:45-76 歲;平均年齡:62.4 歲)。其中7 例患者患有肝細胞癌,2 例患者患有肝轉移癌。1例肝細胞癌患者有2個病灶,其余患者只有1個病灶。根據腫瘤位置,5個腫瘤位于膽囊附近,2個腫瘤位于右門靜脈附近,2個腫瘤位于肝包膜附近,1個腫瘤位于胃附近。

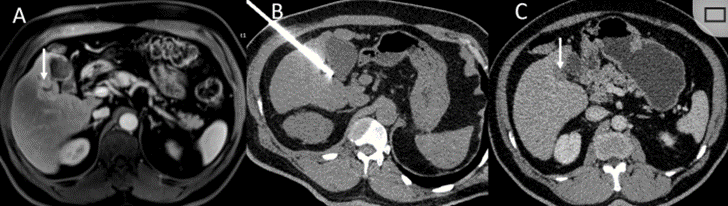
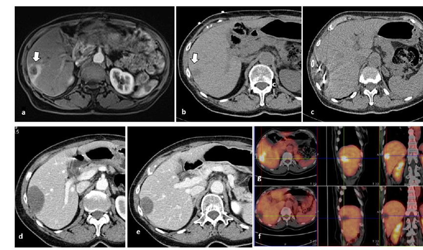
冷凍消融膽囊附近腫瘤病灶
(A)動脈期 MRI 顯示膽囊附近有外周增強病變(箭頭)。
(B)手術過程中 CT 顯示冷凍探針位于病灶內。
(C)消融后,術后 1 個月CT 顯示完全消融(箭頭)。

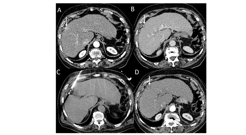
(A)動脈期CT圖像顯示有一個包膜下結節(箭頭)。(C) 在手術過程中的CT顯示一個冷凍探針位于病灶內。隨訪時間中位數為7個月(范圍:3-12個月),隨訪期間患者無局部腫瘤進展或死亡。

技術成功率為100%,本研究中77.8%(7/9)的患者達到了完全消融,輔助局部治療后,所有患者均完全消融。

(A)門靜脈期 CT 圖像顯示膽囊附近有病變(箭頭)。(D)消融手術后 1 個月CT 顯示完全消融。
本研究中患者隨訪期間無局部腫瘤進展,無死亡病例,沒有發現與手術相關的并發癥。證實冷凍消融是一種有效的治療方式,在技術上是可行和安全的。由于肝包膜下病變位置特殊,射頻消融有出血及腫瘤種植的風險,可能會對鄰近器官造成損傷,并且增加局部腫瘤進展的風險。近年來,冷凍消融術的應用逐漸廣泛,有研究顯示冷凍消融治療具有明顯優勢,可治療特殊部位的肝腫瘤。本研究的目的是評價冷凍消融治療肝包膜下腫瘤的安全性和有效性。回顧性納入2016年7月1日至2018年9月1日期間冷凍消融的57例患者。包括42例男性和15例女性,平均年齡為62.4歲(范圍:48-82歲)。每個患者有1個或2個平均腫瘤尺寸為2.4cm的病變(范圍:0.6-4.0cm)。所有患者均患有慢性肝病或肝硬化,并伴有乙型肝炎(n=52)、丙型肝炎(n=3)和其他肝炎(n=2)。根據腫瘤位置,在膈肌或肝臟下附近有18個病變(26.5%),胃或腸附近有9個病變(13.2%),腹壁附近有33個病變(48.5%),腎臟附近有8個病變(11.8%)。
入選標準:
(1) 最多3個直徑5 cm的腫瘤病變;
(2) 肝功能分級Child-Pugh A/B級患者,無證據表明臟器粘連,無大血管浸潤和肝外轉移;
(3) 凝血功能:正常凝血酶原時間和血小板計數≥50000 cells/mL;
(4) 年齡<85歲;

CT引導的冷凍消融

完全消融率為97%(66/68);2名患者均接受了額外的冷凍消融,隨后實現完全消融。平均隨訪期為 12.8 個月(范圍:3-27 個月)。所有患者均接受影像復查(CT 或 MRI)。11個病灶(16.2%)檢測到局部腫瘤進展,6、12和18個月時的累積局部腫瘤進展率分別為4%、8.2%和20.5%。8例出現遠處肝內或肝外病變的患者接受經動脈化療栓塞、經動脈化療栓塞加射頻消融治療或全身化療。
主要和次要并發癥發生率分別為3.5%(2/57)和22.8%(13/57)。并發癥主要表現為局部皮膚凍傷、中度氣胸、發熱,僅有少數患者接受治療,多數患者自行恢復。所有患者能耐受圍手術期疼痛,VAS 評分范圍在 1-3 分之間(平均 1.65分)。3例患者術后疼痛加重,VAS評分達到4~5分,患者口服止痛藥后逐漸緩解。所有患者術后1天血常規、白細胞計數均升高,血小板均有不同程度下降,但變化值均在正常范圍內。肝功能1個月后逐漸恢復到正常水平。
手術前后實驗室檢查結果的變化
(1)經皮冷凍消融治療包膜下肝細胞癌(HCC)安全有效。(2)經皮冷凍消融治療包膜下 HCC 的手術過程簡單。(3)包膜下 HCC 患者通過冷凍消融治療可減輕疼痛,并且僅需局部麻醉。冷凍消融是一種微創治療方法,可用于治療原發性和轉移性肝癌,對于不適合肝切除或肝移植的患者,冷凍消融在臨床上得到廣泛的應用。本研究的目的是評估冷凍消融對肝細胞癌和肝轉移癌患者的有效性。
回顧性納入2015 年至 2020 年期間49 名患者,23 名男性和 26 名女性。平均年齡為 67.5 歲(范圍 44-85 歲)。平均隨訪時間為 19.8 個月(范圍 1-60 個月)。對 54 個腫瘤病灶進行了 64 次 冷凍消融 手術(50 個轉移癌和 14 個 HCC)。平均腫瘤直徑為 2.15 cm(范圍 0.5-5 cm)。肝臟轉移灶來自結直腸 (n = 23)、乳腺 (n = 12)、胰腺 (n = 7)、肺 (n = 3)、甲狀腺 (n = 2)、胃 (n = 1)、卵巢 (n = 1) 和宮頸癌 (n = 2)。


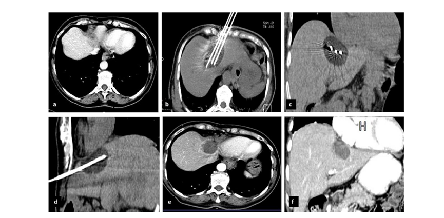
79 歲男性,肝轉移(結直腸癌)腫瘤的完全消融病例
( a ) 軸向 MRI 和 ( b ) 軸向 CT 顯示肝S8段有一個16mm的病灶,鄰近肝緣。( c )冷凍消融期間CT顯示放置了2個冷凍探針,低密度冰球包圍病灶。(d)術后1個月隨訪 CT顯示冰球對應的壞死區域,未見復發。(f)與基線影像(g)相比,12個月后的FDG-PET/CT顯示未見FDG攝取。

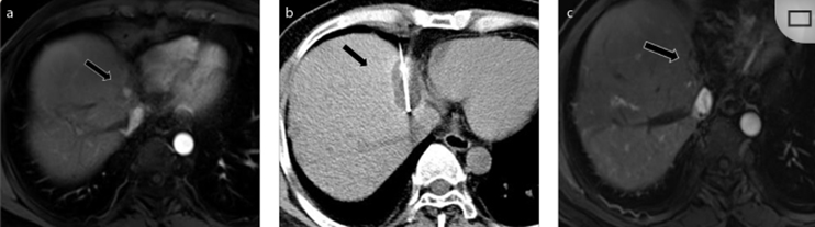
(a)軸向CT顯示病變位置毗鄰心臟和上腔靜脈(黑色箭頭)。1個月后的軸向(e)和冠狀位(f)增強CT掃描顯示低密度區域,由于肉芽組織反應引起的邊緣增強。
技術成功100%,92% 的病灶中觀察到腫瘤完全消融。16 名患者 (33%) 出現局部復發。10 名患者 (20%) 因局部復發或腫瘤消融不完全而接受二次冷凍消融術。

7名患者出現輕微并發癥,未發現膿腫形成、膽漏、膽汁瘤或血液學變化。冷凍消融可安全、有效治療毗鄰重要臟器的原發性肝臟腫瘤和肝轉移瘤患者,有效控制腫瘤局部進展,使患者生存獲益。我國作為肝癌大國,對于肝癌的治療一直給予高度重視。基于專家共識和相關文獻研究結果顯示,冷凍消融技術具有高效、低成本、創傷小、適應證廣、并發癥相對較少等優點,可有效延長患者生存期、提高生活質量、降低患者經濟負擔。因此,冷凍消融技術在肝癌的應用中有著極高的潛力和廣泛的發展空間。